What Causes Brain Cancer In A Child - Treatment For Kids Brain Tumors Can Cause Hearing Problems Cancer Today / And they vary between children.
Dapatkan link
Facebook
X
Pinterest
Email
Aplikasi Lainnya
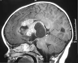
What Causes Brain Cancer In A Child - Treatment For Kids Brain Tumors Can Cause Hearing Problems Cancer Today / And they vary between children.. This is different to cancers that have spread to the brain from somewhere else in the body. Brain tumors are the most common solid tumors affecting children and adolescents, with close to 5,000 children diagnosed each year.; Up to 10% of all cancers in children are caused by a heritable (germline) mutation (a mutation that can be passed from parents to their children). And they vary between children. Morning headaches or headaches that go away after vomiting;
Up to 10% of all cancers in children are caused by a heritable (germline) mutation (a mutation that can be passed from parents to their children). The majority of brain tumors have abnormalities of genes involved in cell cycle control, causing uncontrolled cell growth. There are many types of brain tumors and the treatment and outlook for each is different. Most cancers in children, like those in adults, are thought to develop as a result of mutations in genes that lead to uncontrolled cell growth and eventually cancer. See your gp if your child has any symptoms of a brain tumour to get them checked over.
Brain Cancer Anatomy Biology Brain Cancer Children Common En Health Human Nausea Glogster Edu Interactive Multimedia Posters from c3f827.medialib.edu.glogster.com Though uncommon, a family history of brain tumors or a family history of genetic syndromes may increase the risk of brain tumors in some children. Brain tumors and other nervous system tumors make up about 27 percent of childhood cancers. Brain tumour symptoms can be very similar to those of childhood illnesses. Unusual sleepiness or change in activity level; This leads to swelling and increased pressure inside the skull. The tumor grows and presses against the pons, causing problems with body functions controlled by this part of the. Some kids who have certain genetic conditions have a greater chance of developing brain tumors. The cause of most childhood brain and spinal cord tumors is unknown.
Brain and spinal cord tumors in children are the result of cells growing out of control.
This leads to swelling and increased pressure inside the skull. Signs and symptoms of brain tumors are not the same in every child, but may include : Brain tumors are the most common solid tumors affecting children and adolescents, with close to 5,000 children diagnosed each year.; Remember the symptoms we list here are not usually cancer. There are many kinds of brain tumors. Brain tumors, either malignant or benign, are tumors that originate in the cells of the brain. Alan cohen, m.d., director of pediatric neurosurgery at johns hopkins children's center, shares the most common signs and symptoms that could point to a potential brain tumor. Brain tumour symptoms can be very similar to those of childhood illnesses. Children with certain genetic conditions have an increased risk for tumors of the central nervous system. What you need to know. What are the types of brain tumors? Most cancers in children, like those in adults, are thought to develop as a result of mutations in genes that lead to uncontrolled cell growth and eventually cancer. The majority of brain tumors have abnormalities of genes involved in cell cycle control, causing uncontrolled cell growth.
When a child develops a brain tumor, early diagnosis is essential. About 400 children in the uk develop brain tumours each year. Alan cohen, m.d., director of pediatric neurosurgery at johns hopkins children's center, shares the most common signs and symptoms that could point to a potential brain tumor. Many chemotherapy drugs are available, and options depend on the type of cancer. Children with certain genetic conditions have an increased risk for tumors of the central nervous system.
Neuroblastoma Childhood Cancer Signs And Symptoms Acco from www.acco.org Even in cases when the cancer is cured, young patients suffer from the stress of a treatment that can be harmful to the. When a child develops a brain tumor, early diagnosis is essential. However, treatment for children may be different than treatment for adults. Boys are affected slightly more often than girls. Some kids who have certain genetic conditions have a greater chance of developing brain tumors. Vision, hearing, and speech problems; Rarely brain tumors are the result of exposure to radiation, or from a familial cancer syndrome. Many chemotherapy drugs are available, and options depend on the type of cancer.
Doctors classify brain and central nervous system tumors based on where they form and the kind of cells they involve.
Tumors can occur at any age. The tumor may start in your child's brain or travel to his brain from another body area. Many children with a brain tumor experience headaches before their diagnosis. Brain tumors, either malignant or benign, are tumors that originate in the cells of the brain. What are the types of brain tumors? Signs and symptoms of brain tumors are not the same in every child, but may include : Most cancers in children, like those in adults, are thought to develop as a result of mutations in genes that lead to uncontrolled cell growth and eventually cancer. Although the drugs can be taken orally in pill form, in children with pediatric brain tumors the drugs are usually injected into a vein (intravenous chemotherapy). Vision, hearing, and speech problems; The cause of most childhood brain and spinal cord tumors is unknown. Brain and spinal cord tumors in children are the result of cells growing out of control. Most often, it's not known why children without inherited syndromes develop brain or spinal cord tumors. Brain tumors can cause pressure on the brain, causing the following symptoms:
Chemotherapy side effects depend on the type and dose of. Tumours that start in the brain are called primary brain tumours. What you need to know. Which children are at risk for a brain tumor? Although the drugs can be taken orally in pill form, in children with pediatric brain tumors the drugs are usually injected into a vein (intravenous chemotherapy).
Blastoma Causes Types Diagnosis And Treatment from post.medicalnewstoday.com About 400 children in the uk develop brain tumours each year. Doctors don't know why certain children develop a brain tumor. This leads to swelling and increased pressure inside the skull. A tumor is an abnormal growth of tissue. Many children with a brain tumor experience headaches before their diagnosis. What is a brain tumor? The cause of most childhood brain and spinal cord tumors is unknown. Signs and symptoms of brain tumors are not the same in every child, but may include :
The tumor grows and presses against the pons, causing problems with body functions controlled by this part of the.
See your gp if your child has any symptoms of a brain tumour to get them checked over. Examples include nerves in your child's skull, his pituitary gland, or the membranes that cover his brain. Examples include nerves in your child's skull, his pituitary gland, or the membranes that cover his brain. Children with certain genetic conditions have an increased risk for tumors of the central nervous system. Remember the symptoms we list here are not usually cancer. The tumor grows and presses against the pons, causing problems with body functions controlled by this part of the. The symptoms of childhood brain stem glioma vary and often depend on the child's age and where the tumor is located. The types of brain tumors seen in children are different from adults and usually appear at different locations. Many chemotherapy drugs are available, and options depend on the type of cancer. Even in cases when the cancer is cured, young patients suffer from the stress of a treatment that can be harmful to the. More children than ever are surviving childhood cancer. Doctors don't know why certain children develop a brain tumor. The causes of most childhood cancers are not known.
Cid all characters real names with photographs information and details has been provided here. All trademarks, service marks, trade names, trade dress, product names and logos appearing on the site are the property of their respective owners. It was first aired on 21st january, 1998 and running till date. Cid is stands for crime investigation department which is longest running crime detective series in india. 10.11.2021 · company news follow the companies making headlines and moving markets here. Aclk Sa L Ai Dchcsewix Pot58t0ahvnj2gjhuqhaqyyababggj3zg Sig Aod64 000msn497oaoyppeewtb0tpapbna Adurl Ctype 5 from Cid is stands for crime investigation department which is longest running crime detective series in india. It was first aired on 21st january, 1998 and running till date. The inclusion of a company in this section does not state or i...
What Flower Represents Childhood Cancer - Tattoo Uploaded By Lynette Hurley This Tattoo Was To Represent My Young Daughters Fight With Childhood Cancer A Fight That She Bravely Won It S The Gold Ribbon For Childhood Cancer Minnie - White rose white roses have a certain kind of purity associated with them, as do the people who are born under the zodiac sign of cancer. . Moving on to the other message, strength, this one is sent out by gladiolas, along generosity and love at first sight. When sending flowers to gemini, go for bold colors and unusual shapes to appeal their expressive and creative nature, we recommend exotic bouquets with tropical flowers. For example, about 45% of children with retinoblastoma, a cancer of the eye that develops mainly in children, inherited a mutation in a gene called rb1 from a parent (). The best flowers to celebrate breast cancer awareness annually, october marks breast cancer awareness month, which is sponsored by the national breast cancer founda...
What Is The Zodiac Sign Cancer Stand For / Cancer Astrology Cancer Cancer Astrology Sign Zodiac Signs Cancer / Just as the crab claw grips, cancer energy makes us cling to comforts—from job security to beloved family members and pets. . Your natural parental instincts are in its element when it comes to taking care of the broken and fixing it for the better. Cancer belongs to the element water, its quality is cardinal and its charge is negative. Astrologers also view the zodiac as the archetype of cycles and cyclic time, the signs being phases or levels of development. Even in your darkest moments, you're never alone. Things the signs can't stand. Cancer is a water sign, signs that are deeply connected to their emotions and intuition. As a water sign, cancer understands deep emotions and takes time to process them, yet they may appear calm on the surface. The sun enters it on or around june 21, at the summer solstice. The fourth sign of the zodiac, cancer is...
Komentar
Posting Komentar